Before and After

Request a Consult

Achieving Successful Outcomes

The team at Earlwood Orthodontics has extensive experience in achieving successful outcomes across a range of cases. See some of our typical cases we have experience in correcting in the before and after gallery.

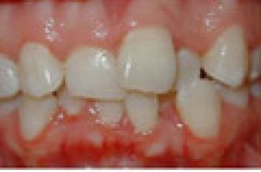
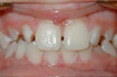
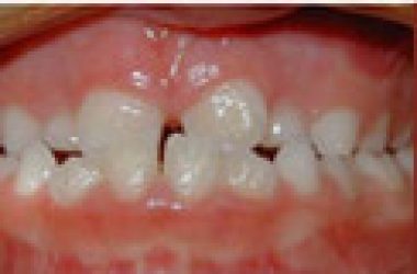
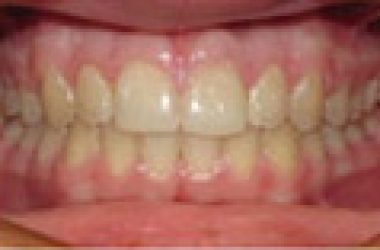
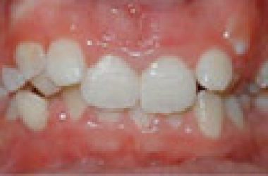
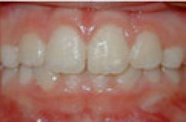
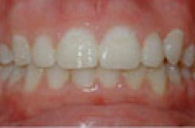
Crowding

Lack of space for all teeth present.

Before After Before-After_26Before-After_28

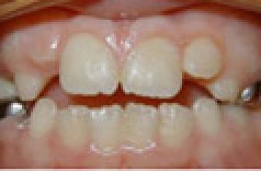
Spacing

Gaps between teeth.

Before After Before-After_10Before-After_12

Crossbite

Upper teeth biting behind lower teeth.

Before After Before-After_22Before-After_24

Open Bite

Lack of vertical overlapping between front teeth.

Before After Before-After_14Before-After_16

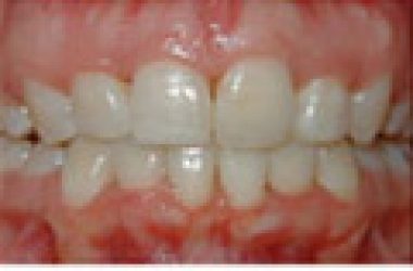
Deep Bite

Excessive vertical overlapping between upper and lower teeth.

Before After Before-After_18Before-After_20

Excessive Overjet

Prominent upper teeth in relation to the lower teeth.

Before After Before-After_06Before-After_08